西安大兴医院成功救治 64 岁急性下壁心肌梗死患者
12 月 5 日,在重症医学科(ICU)的配合下,西安大兴医院心血管内科医护人员成功救治了一名 64 岁急性下壁心肌梗死患者,上演了一场与死神竞赛的「生死时速」。
心内科副主任 张龙
张龙是该患者的手术医生,他介绍了当时的情况。
1. 双绕进入导管室
12 月 5 日上午 9 点 38 分,患者进入医院大门。得力于医院胸痛中心院前急救网络建设,120 与心血管内科值班医生沟通后,直接双绕(绕行急诊科、CCU)将病人送入了导管室,张龙副主任值急诊班,手术由他来完成。(CCU 指心内科重症监护室)
2. 堵、堵、堵,危在旦夕
患者上午 9 点 43 分进导管室,几乎无法开口说话,面色苍白,意识模糊。
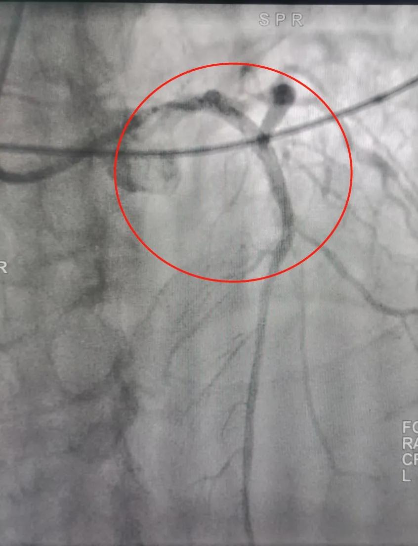
经冠脉造影看到:前降支近端闭塞,回旋支中段 90% 狭窄,远端闭塞,右冠近端闭塞。
造影显示:患者冠脉三支血管闭塞
这意味着:患者整个心脏只靠回旋支供一点血,情况异常危急!
心血管内科副主任 张龙:「我们早早就在导管室等待,很快就完成消毒、穿刺等工作,开始造影。造影显示患者冠脉三支血管全闭塞了,这种情况极其少见,说明患者病情很重。」
3. 除颤按压 1 个多小时
张龙副主任、闫育平副主任医师、孙鹏雀主治医生等医护人员,紧急实施手术。术中扩张右冠闭塞支后,血栓负荷重,迅速在闭塞处植入一枚支架,反复出现室速、室颤,电击除颤十二次。
张龙:「在准备实施 PCI(经皮冠状动脉介入治疗)手术前患者就发生室速了,成功除颤后,紧急开通血管植入支架,但是患者血管情况太糟糕,反复出现室速、室颤,心脏停跳,所以只能气管插管带上呼吸机,持续进行心脏胸外按压维持循环,无法完全完成血运重建治疗。」
全科人员轮流心脏按压达一个多小时。
心血管内科副主任 张龙:「这期间,因为胸外按压很费体力,所以,让导管室的所有人和我们科的介入护士轮换着持续按压。按压 1 个小时后,患者恢复自主心跳,所以赶快和家属谈话安装 ECMO 支持。家属同意后,就迅速联系 ICU,快速转运患者安装 ECMO。」
4. 置入 ECMO 再次手术
在 ICU,为患者置入 ECMO,终于使其心跳稳定。
观察约 3 小时后,情况稳定。
ICU 置入 ECMO 后,转运介入室
ECMO 设备
IABP 设备
重返心内介入导管室,安装 IABP 支持下,张龙副主任在右冠状动脉残余狭窄植入支架,并打通前降支。
5. 患者安返 ICU 病区
心血管内科副主任 张龙:「装上 ECMO 后,这位男性患者生命体征基本能稳定了,我和 ICU 刘副主任商量后,决定继续在 ECMO 和 IABP(主动脉球囊反搏术)的支持下完成心脏介入手术。不然,患者的根本问题不解决,最终还是救不过来的。
只有冒着风险,积极处理才有希望。所以,下午 3 点多,ICU 将患者带着 ECMO 转运至一楼介入室。我继续完成后面的手术,恢复患者急性闭塞的两支血管(另一支血管远端是慢性闭塞),再安装完 IABP 后,患者心率、血压都很平稳。心情很激动。」
继续与死神「作战」
紧张而有条不紊
坚持不懈的努力
心血管内科副主任 张龙:「这是与 ICU 通力协作的结果,希望快撤 ECMO,慢撤 IABP,把术后管理做好。」
闭塞位置被疏通
心血管内科主任 李志立评价:「这个病例代表了当前三甲医院心内科的高水平,体现了科室的高技术和团队协作!」
6. 12 月 7 日 患者情况平稳
心血管内科副主任 张龙:「我 7 号一早就去看患者,目前生命体征比较稳定。但是由于心肺复苏时间比较长,心脏功能还需要时间恢复,后续可能会出现相关并发症,还有很多关卡要过。」
7. 团队协作 至关重要
心血管内科副主任 张龙:「从这个患者身上,我感觉一个是团队配合真的很重要,心肺复苏的那一个小时,大家动作很标准,没有人退缩,轮换着上,让我很感动,不然患者也不会恢复自主心跳。其次就是科室协作很重要,如果没有 ICU 的 ECMO 团队支持,恐怕患者也坚持不了很久,我更没有机会实施后续的手术。」
8. 科普:心梗知多少
心血管内科副主任 张龙:「患者入院前已经疼痛有一周时间,入院前半小时加重的,既往有糖尿病史。没有及时重视身体发出的信号,导致病情延误。所以,非常有必要给大家进行相关科普。」
急性下壁心肌梗死是一种严重心脏疾病:
心梗本身就是一种急性致死性疾病,致死高峰发生在心梗发生后数小时到 1 周左右内,但有极个别情况可能持续到 2 周甚至 1 个月内,都有可能出现致死性恶性心律失常,导致患者死亡。
1、心肌梗死病变血管支配心肌面积越大越危险,范围越小预后越好;梗死范围越大,没有及时开通血管,导致心肌坏死后出现电不稳定,导致恶性心律失常。恶性心律失常是导致心肌梗死患者高死亡率的第一位因素。
2、心肌梗死后时间越久越危险,治疗越及时预后越好。梗死时间较长,导致没有灌注心肌出现大面积坏死,而心肌坏死有时不可再生,梗死后会出现心脏收缩功能严重下降,同时也可能会出现其它机械并发症,比如心脏破裂、室间隔穿孔,二尖瓣或者主动脉瓣瓣膜穿孔、破裂、脱垂等并发症,都会导致患者死亡率明显增加。
很多患者因为没有重视其危害性,在家中延误或者治疗不及时,导致心肌梗死病死率明显升高。
很多医院都开展胸痛中心工作,目的是提高心肌梗死患者救治率和就诊时间,减少心肌梗死死亡率。
3、不同治疗手段对病死率有影响,如果心肌梗死患者不做任何处理致死率约 30%,但这种情况现在已经很少见;如果进行监护,即普通内科治疗,不做进一步处理,心肌梗死致死率是 15%,溶栓治疗致死率是 8%,如果在 1 小时内介入治疗死亡率是 4%。
心肌梗死致死还会发生心脏并发症,产生如下危害:
1、心源性休克,就诊时已经处于休克状态,致死率极高;
2、1 周左右出现恶性心律失常,其中以室颤、室速、室扑等为主,致死率很高;
3、如果出现慢性心衰,甚至最后晚期形成室壁瘤,引起致死率升高。心梗远期并发症主要为室壁瘤,是指因为心脏重塑后心脏结构改变,梗死后因为心脏重塑会变形扩大,这时会出现心脏像瘤一样突出,可影响心脏收缩;心衰,由于严重心肌受损后,心脏收缩功能下降所致;
4、一些不是心脏本身因素,都是其他并发症引起的因素,跟基础疾病有关,比如高血压、高血糖、脑血管疾病患者死亡率可能更高。
*声明:本内容仅代表文章来源方观点,不代表本站立场。本内容仅供医学药学专业人士阅读,不构成实际治疗建议。
